中文名稱: 兔抗USF1多克隆抗體
儲 存: 冷凍(-20℃)
|
Background: |
This gene encodes a member of the basic helix-loop-helix leucine zipper family, and can function as a cellular transcription factor. The encoded protein can activate transcription through pyrimidine-rich initiator (Inr) elements and E-box motifs. This gene has been linked to familial combined hyperlipidemia (FCHL). Alternative splicing of this gene results in multiple transcript variants. A related pseudogene has been defined on chromosome 21. |
|
Applications: |
ELISA, IHC |
|
Name of antibody: |
USF1 |
|
Immunogen: |
Fusion protein of human USF1 |
|
Full name: |
upstream transcription factor 1 |
|
Synonyms: |
UEF; FCHL; MLTF; FCHL1; MLTFI; HYPLIP1; bHLHb11 |
|
SwissProt: |
P22415 |
|
ELISA Recommended dilution: |
2000-5000 |
|
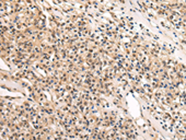
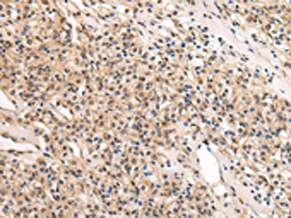
IHC positive control: |
Human breast cancer |
|
IHC Recommend dilution: |
25-100 |
購物車
幫助
021-54845833/15800441009
