中文名稱:兔抗ADGRL4多克隆抗體
英文名稱: Anti-ADGRL4 rabbit polyclonal antibody
別 名: adhesion G protein-coupled receptor L4; ETL; ELTD1; KPG_003
相關類別: 一抗
儲 存: 冷凍(-20℃)
宿 主: Rabbit
抗 原: ADGRL4
反應種屬: Human, Mouse, Rat
標 記 物: Unconjugate
克隆類型: rabbit polyclonal
技術規格
|
Background: |
Endothelial orphan receptor that acts as a key regulator of angiogenesis. |
|
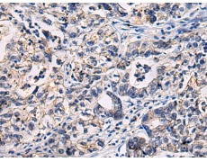
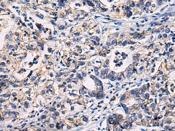
Applications: |
ELISA, IHC |
|
Name of antibody: |
ADGRL4 |
|
Immunogen: |
Synthetic peptide of human ADGRL4 |
|
Full name: |
adhesion G protein-coupled receptor L4 |
|
Synonyms: |
ETL; ELTD1; KPG_003 |
|
SwissProt: |
Q9HBW9 |
|
ELISA Recommended dilution: |
5000-10000 |
|
IHC positive control: |
Human gastric cancer |
|
IHC Recommend dilution: |
25-50 |
購物車
幫助
021-54845833/15800441009
