|
Background: |
This gene encodes a member of the ubiquitin specific protease (USP) family of deubiquitinating enzymes. USP enzymes play critical roles in ubiquitin-dependent processes through polyubiquitin chain disassembly and hydrolysis of ubiquitin-substrate bonds. The encoded protein associates with the COP9 signalosome, and also plays a role in transforming growth factor beta signalling through deubiquitination of receptor-activated SMAD transcription factors. Alternatively spliced transcript variants encoding multiple isoforms have been observed for this gene, and a pseudogene of this gene is located on the long arm of chromosome 2. |
|
Applications: |
ELISA, IHC |
|
Name of antibody: |
USP15 |
|
Immunogen: |
Fusion protein of human USP15 |
|
Full name: |
ubiquitin specific peptidase 15 |
|
Synonyms: |
UNPH4; UNPH-2 |
|
SwissProt: |
Q9Y4E8 |
|
ELISA Recommended dilution: |
2000-5000 |
|
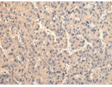
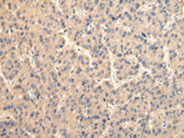
IHC positive control: |
Human esophagus cancer and Human thyroid cancer |
|
IHC Recommend dilution: |
25-100 |
購物車
幫助
021-54845833/15800441009
