中文名稱: 兔抗PGRMC1多克隆抗體
英文名稱: Anti-PGRMC1 rabbit polyclonal antibody
別 名: MPR; HPR6.6
抗 原: PGRMC1
儲 存: 冷凍(-20℃)
宿 主: Rabbit
相關類別: 一抗
反應種屬: Human, Mouse, Rat
標 記 物: Unconjugate
克隆類型: rabbit polyclonal
技術規格
|
Background: |
This gene encodes a putative membrane-associated progesterone steroid receptor. The protein is expressed predominantly in the liver and kidney. |
|
Applications: |
ELISA, WB, IHC |
|
Name of antibody: |
PGRMC1 |
|
Immunogen: |
Fusion protein of human PGRMC1 |
|
Full name: |
progesterone receptor membrane component 1 |
|
Synonyms: |
MPR; HPR6.6 |
|
SwissProt: |
O00264 |
|
ELISA Recommended dilution: |
5000-10000 |
|
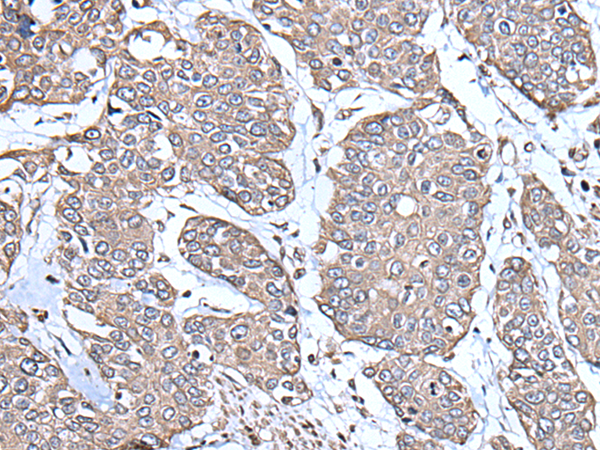
IHC positive control: |
Human prostate cancer |
|
IHC Recommend dilution: |
25-100 |
|
WB Predicted band size: |
22 kDa |
|
WB Positive control: |
Human kidney tissue lysate |
|
WB Recommended dilution: |
200-1000 |


購物車
幫助
021-54845833/15800441009
