|
Background: |
This gene encodes a member of the SOX (SRY-related HMG-box) family of transcription factors involved in the regulation of embryonic development and in the determination of the cell fate. The encoded protein may act as a transcriptional regulator after forming a protein complex with other proteins. Mutations in this gene have been associated with X-linked mental retardation with growth hormone deficiency. |
|
Applications: |
ELISA, WB, IHC |
|
Name of antibody: |
SOX3 |
|
Immunogen: |
Synthetic peptide of human SOX3 |
|
Full name: |
SRY-box 3 |
|
Synonyms: |
PHP; GHDX; MRGH; PHPX; SOXB |
|
SwissProt: |
P41225 |
|
ELISA Recommended dilution: |
2000-5000 |
|
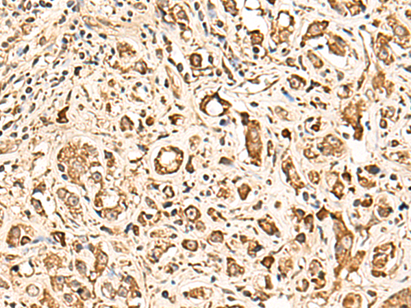
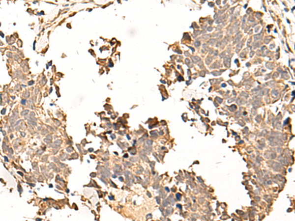
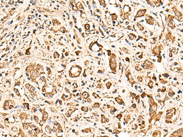
IHC positive control: |
Human lung cancer and Human prostate cancer |
|
IHC Recommend dilution: |
50-300 |
|
WB Predicted band size: |
45 kDa |
|
WB Positive control: |
293T cell lysate |
|
WB Recommended dilution: |
200-1000 |


購物車
幫助
021-54845833/15800441009
