|
Background: |
This intronless gene encodes a member of the SOX (SRY-related HMG-box) family of transcription factors involved in the regulation of embryonic development and in the determination of the cell fate. The encoded protein may act as a transcriptional regulator after forming a protein complex with other proteins, such as syndecan binding protein (syntenin). The protein may function in the apoptosis pathway leading to cell death as well as to tumorigenesis and may mediate downstream effects of parathyroid hormone (PTH) and PTH-related protein (PTHrP) in bone development. The solution structure has been resolved for the HMG-box of a similar mouse protein. |
|
Applications: |
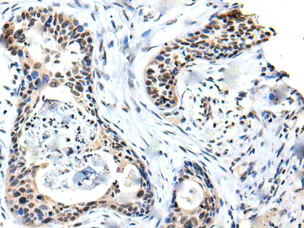
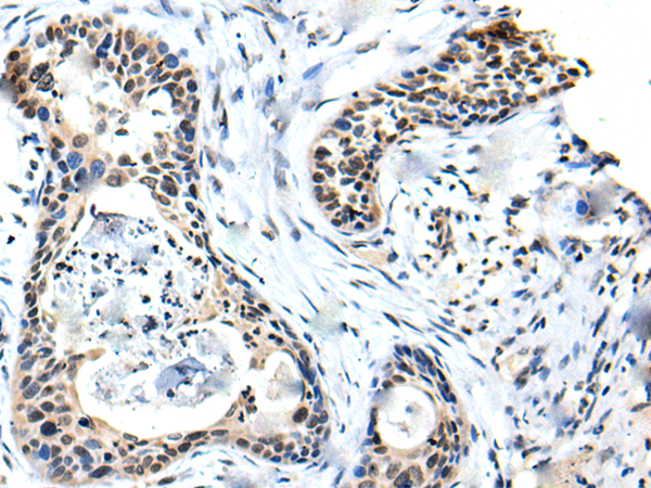
ELISA, IHC |
|
Name of antibody: |
SOX4 |
|
Immunogen: |
Synthetic peptide of human SOX4 |
|
Full name: |
SRY-box 4 |
|
Synonyms: |
EVI16 |
|
SwissProt: |
Q06945 |
|
ELISA Recommended dilution: |
1000-2000 |
|
IHC positive control: |
Human cervical cancer |
|
IHC Recommend dilution: |
20-100 |
購物車
幫助
021-54845833/15800441009
