|
Background: |
This gene encodes a member of the a ubiquitously expressed transcription factor that controls cholesterol homeostasis by regulating transcription of sterol-regulated genes. The encoded protein contains a basic helix-loop-helix-leucine zipper (bHLH-Zip) domain and binds the sterol regulatory element 1 motif. Alternate splicing results in multiple transcript variants. |
|
Applications: |
ELISA, IHC |
|
Name of antibody: |
SREBF2 |
|
Immunogen: |
Synthetic peptide of human SREBF2 |
|
Full name: |
sterol regulatory element binding transcription factor 2 |
|
Synonyms: |
SREBP2; bHLHd2; SREBP-2 |
|
SwissProt: |
Q12772 |
|
ELISA Recommended dilution: |
5000-10000 |
|
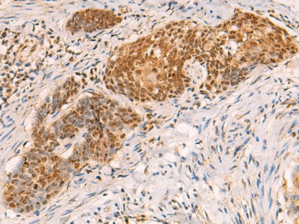
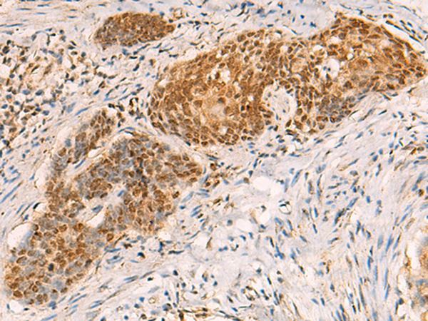
IHC positive control: |
Human esophagus cancer |
|
IHC Recommend dilution: |
50-300 |
購物車
幫助
021-54845833/15800441009
