|
Background: |
This gene encodes a serine/arginine protein kinase specific for the SR (serine/arginine-rich domain) family of splicing factors. The protein localizes to the nucleus and the cytoplasm. It is thought to play a role in regulation of both constitutive and alternative splicing by regulating intracellular localization of splicing factors. Alternative splicing of this gene results in multiple transcript variants. |
|
Applications: |
ELISA, WB, IHC |
|
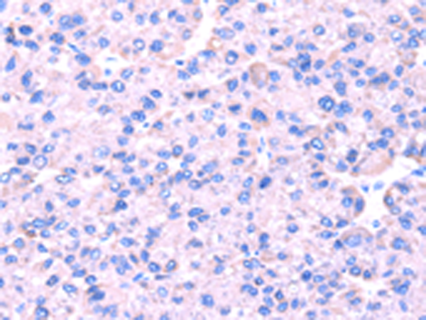
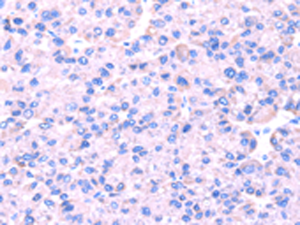
Name of antibody: |
SRPK1 |
|
Immunogen: |
Fusion protein of human SRPK1 |
|
Full name: |
SRSF protein kinase 1 |
|
Synonyms: |
SFRSK1 |
|
SwissProt: |
Q96SB4 |
|
ELISA Recommended dilution: |
1000-2000 |
|
IHC positive control: |
Human liver cancer and human esophagus cancer |
|
IHC Recommend dilution: |
30-150 |
|
WB Predicted band size: |
74 kDa |
|
WB Positive control: |
Huvec cells |
|
WB Recommended dilution: |
200-1000 |

購物車
幫助
021-54845833/15800441009
