|
Background: |
This gene encodes one member of a family of translation repressor proteins. The protein directly interacts with eukaryotic translation initiation factor 4E (eIF4E), which is a limiting component of the multisubunit complex that recruits 40S ribosomal subunits to the 5' end of mRNAs. Interaction of this protein with eIF4E inhibits complex assembly and represses translation. This protein is phosphorylated in response to various signals including UV irradiation and insulin signaling, resulting in its dissociation from eIF4E and activation of mRNA translation. [provided by RefSeq, Jul 2008] |
|
Applications: |
IHC |
|
Name of antibody: |
EIF4EBP1(Phospho-Thr70) |
|
Immunogen: |
Peptide sequence around phosphorylation site of threonine70 (T-K-T(p)-P-P) derived from Human 4E-BP1. |
|
Full name: |
eukaryotic translation initiation factor 4E binding protein 1 |
|
Synonyms: |
BP-1; 4EBP1; 4E-BP1; PHAS-I |
|
SwissProt: |
Q13541 |
|
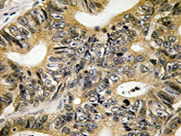
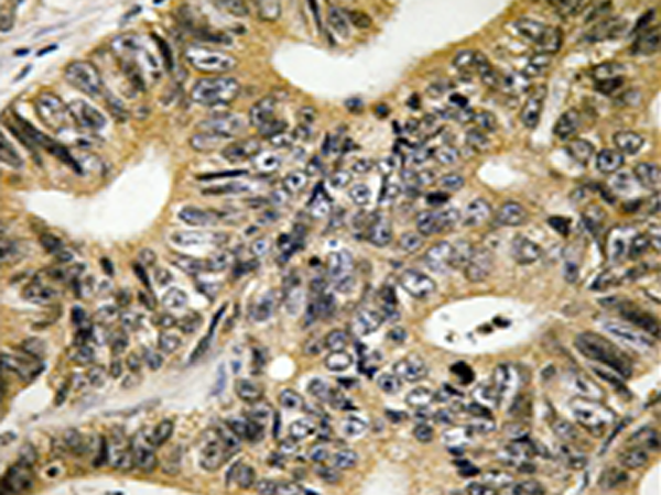
IHC positive control: |
Human colon carcinoma tissue |
|
IHC Recommend dilution: |
50-100 |
購物車
幫助
021-54845833/15800441009
