|
Background: |
This gene encodes a secreted, homodimeric glycoprotein that is expressed in a wide variety of tissues and may have autocrine or paracrine functions. The encoded protein has 10 of its 15 cysteine residues conserved among stanniocalcin family members and is phosphorylated by casein kinase 2 exclusively on its serine residues. Its C-terminus contains a cluster of histidine residues which may interact with metal ions. |
|
Applications: |
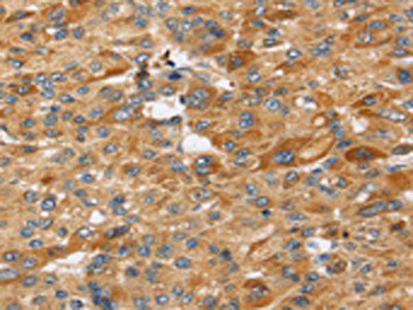
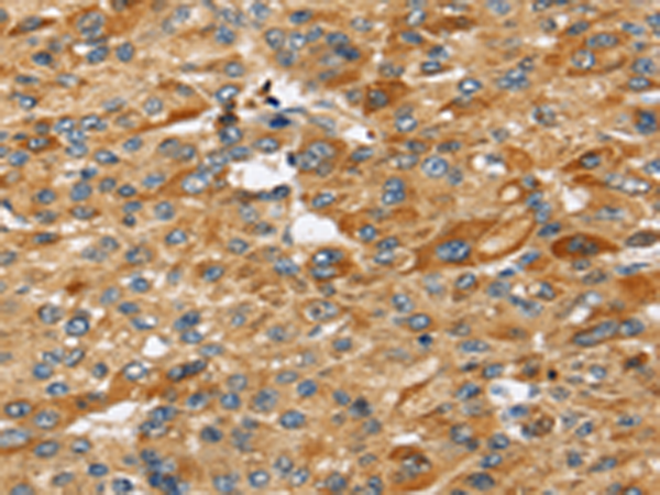
ELISA, IHC |
|
Name of antibody: |
STC2 |
|
Immunogen: |
Fusion protein of human STC2 |
|
Full name: |
stanniocalcin 2 |
|
Synonyms: |
STC-2; STCRP |
|
SwissProt: |
O76061 |
|
ELISA Recommended dilution: |
2000-5000 |
|
IHC positive control: |
Human liver cancer and Human esophagus cancer |
|
IHC Recommend dilution: |
25-100 |
購物車
幫助
021-54845833/15800441009
