中文名稱: 兔抗ADAMDEC1多克隆抗體
|
Background: |
This encoded protein is thought to be a secreted protein belonging to the disintegrin metalloproteinase family. Its expression is upregulated during dendritic cells maturation. This protein may play an important role in dendritic cell function and their interactions with germinal center T cells. |
|
Applications: |
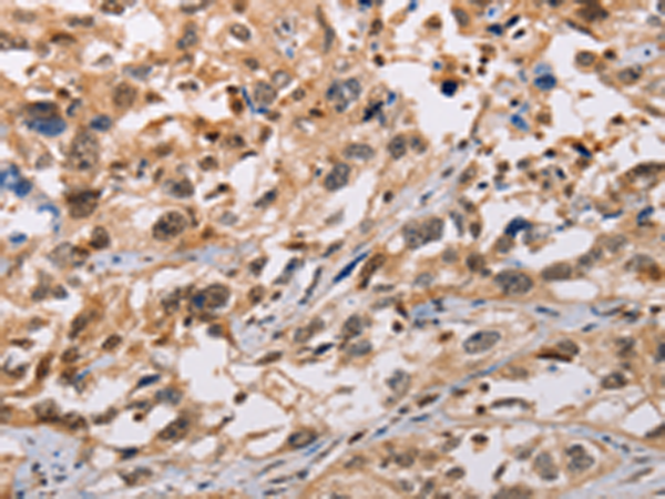
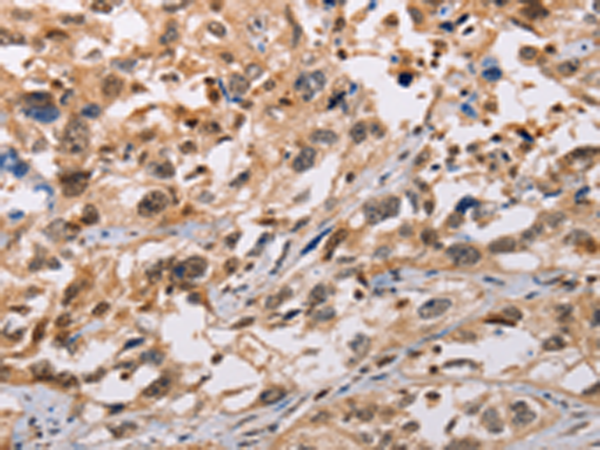
ELISA, IHC |
|
Name of antibody: |
ADAMDEC1 |
|
Immunogen: |
Fusion protein of human ADAMDEC1 |
|
Full name: |
ADAM-like, decysin 1 |
|
Synonyms: |
M12.219 |
|
SwissProt: |
O15204 |
|
ELISA Recommended dilution: |
2000-5000 |
|
IHC positive control: |
Human esophagus cancer and human thyroid cancer |
|
IHC Recommend dilution: |
25-100 |

購物車
幫助
021-54845833/15800441009
