|
Background: |
May play a role in cell death control. Acts as a transcriptional repressor. Has been shown to repress transcription of SRF in vitro and so may play a role in heart development. |
|
Applications: |
ELISA, WB, IHC |
|
Name of antibody: |
TCF25 |
|
Immunogen: |
Fusion protein of human TCF25 |
|
Full name: |
transcription factor 25 |
|
Synonyms: |
Hulp1; NULP1; FKSG26; PRO2620; hKIAA1049 |
|
SwissProt: |
Q9BQ70 |
|
ELISA Recommended dilution: |
5000-10000 |
|
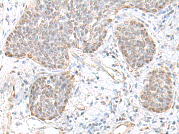
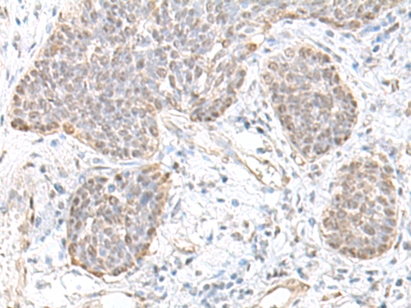
IHC positive control: |
Human esophagus cancer and Human breast cancer |
|
IHC Recommend dilution: |
40-200 |
|
WB Predicted band size: |
77 kDa |
|
WB Positive control: |
Hela cell, Jurkat cell, NIH/3T3 cell, Human fetal brain tissue, 293T cell, K562 cell lysates |
|
WB Recommended dilution: |
500-2000 |

購物車
幫助
021-54845833/15800441009
