|
Background: |
Transglutaminases are enzymes that catalyze the crosslinking of proteins by epsilon-gamma glutamyl lysine isopeptide bonds. While the primary structure of transglutaminases is not conserved, they all have the same amino acid sequence at their active sites and their activity is calcium-dependent. The protein encoded by this gene acts as a monomer, is induced by retinoic acid, and appears to be involved in apoptosis. Finally, the encoded protein is the autoantigen implicated in celiac disease. Two transcript variants encoding different isoforms have been found for this gene. |
|
Applications: |
ELISA, WB, IHC |
|
Name of antibody: |
TGM2 |
|
Immunogen: |
Fusion protein of human TGM2 |
|
Full name: |
Transglutaminase 2 (C polypeptide, protein-glutamine-gamma-glutamyltransferase) |
|
Synonyms: |
TG2; TGC; GNAH; G-ALPHA-h |
|
SwissProt: |
P21980 |
|
ELISA Recommended dilution: |
1000-2000 |
|
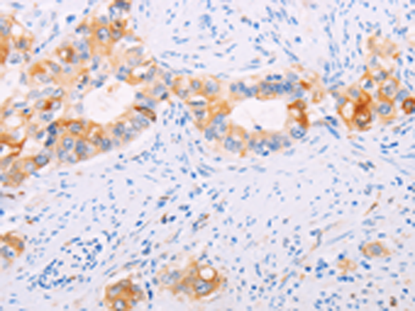
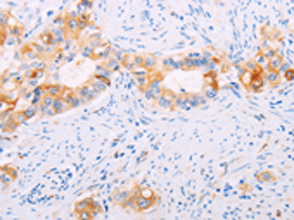
IHC positive control: |
Human cervical cancer and human lung cancer |
|
IHC Recommend dilution: |
15-50 |
|
WB Predicted band size: |
77 kDa |
|
WB Positive control: |
Lovo and hela cells, human liver cancer and fetal liver tissue |
|
WB Recommended dilution: |
200-1000 |

購物車
幫助
021-54845833/15800441009
