中文名稱:兔抗ZNF134多克隆抗體
英文名稱: Anti-ZNF134 rabbit polyclonal antibody
別 名: pHZ-15
相關類別: 一抗
抗 原: ZNF134
儲 存: 冷凍(-20℃) 避光
宿 主: Rabbit
反應種屬: Human
標 記 物: Unconjugate
克隆類型: Unconjugate
技術規格
|
Background: |
May be involved in transcriptional regulation. |
|
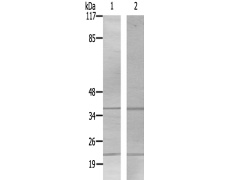
Applications: |
WB |
|
Name of antibody: |
ZNF134 |
|
Immunogen: |
Synthesized peptide derived from internal of human ZNF134. |
|
Full name: |
zinc finger protein 134 |
|
Synonyms: |
pHZ-15 |
|
SwissProt: |
P52741 |
|
WB Predicted band size: |
48 kDa |
|
WB Positive control: |
COS7 cells and K562 cells lysates |
|
WB Recommended dilution: |
500-3000 |
購物車
幫助
021-54845833/15800441009
