|
Background: |
The protein encoded by this gene is involved in the conversion of tyrosine to dopamine. It is the rate-limiting enzyme in the synthesis of catecholamines, hence plays a key role in the physiology of adrenergic neurons. Mutations in this gene have been associated with autosomal recessive Segawa syndrome. Alternatively spliced transcript variants encoding different isoforms have been noted for this gene. |
|
Applications: |
WB, IHC, IF |
|
Name of antibody: |
TH(Ab-19) |
|
Immunogen: |
Synthesized non-phosphopeptide derived from human Tyrosine Hydroxylase around the phosphorylation site of serine 19 (A-V-S(p)-E-Q). |
|
Full name: |
tyrosine hydroxylase |
|
Synonyms: |
TYH; DYT14; DYT5b |
|
SwissProt: |
Q2M3B4 |
|
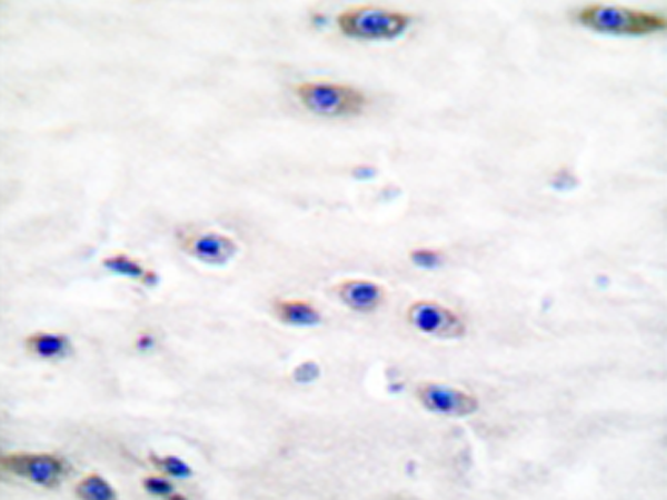
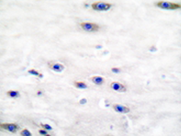
IHC positive control: |
Human brain tissue |
|
IHC Recommend dilution: |
50-100 |
|
WB Predicted band size: |
59 kDa |
|
WB Positive control: |
NIH/3T3 cells treated with Forskolin (40nM, 30min) lysate |
|
WB Recommended dilution: |
500-3000 |
|
IF positive control: |
Huvec cells |
|
IF Recommend dilution: |
100-500 |


購物車
幫助
021-54845833/15800441009
