|
Background: |
This gene is regulated as part of the p53 tumor suppressor pathway and encodes a protein with sequence similarity to the bisphosphate domain of the glycolytic enzyme that degrades fructose-2,6-bisphosphate. The protein functions by blocking glycolysis and directing the pathway into the pentose phosphate shunt. Expression of this protein also protects cells from DNA damaging reactive oxygen species and provides some protection from DNA damage-induced apoptosis. |
|
Applications: |
ELISA, WB, IHC |
|
Name of antibody: |
TIGAR |
|
Immunogen: |
Synthetic peptide of human TIGAR |
|
Full name: |
TP53 induced glycolysis regulatory phosphatase |
|
Synonyms: |
FR2BP; C12orf5 |
|
SwissProt: |
Q9NQ88 |
|
ELISA Recommended dilution: |
1000-2000 |
|
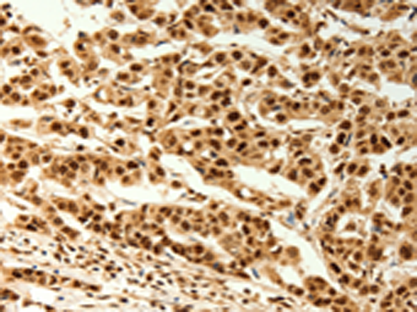
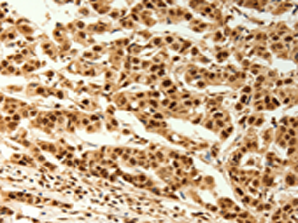
IHC positive control: |
Human cervical cancer and Human breast cancer |
|
IHC Recommend dilution: |
100-300 |
|
WB Predicted band size: |
30 kDa |
|
WB Positive control: |
Human normal liver tissue |
|
WB Recommended dilution: |
200-1000 |

購物車
幫助
021-54845833/15800441009
