中文名稱:兔抗RPL15多克隆抗體
英文名稱: Anti-RPL15 rabbit polyclonal antibody
別 名: L15; EC45; RPL10; RPLY10; RPYL10
相關類別: 一抗
抗 原: RPL15
儲 存: 冷凍(-20℃)
宿 主: Rabbit
反應種屬: Human, Mouse, Rat
標 記 物: Unconjugate
克隆類型: rabbit polyclonal
技術規格
|
Background: |
Ribosomes, the organelles that catalyze protein synthesis, consist of a small 40S subunit and a large 60S subunit. Together these subunits are composed of 4 RNA species and approximately 80 structurally distinct proteins. This gene encodes a ribosomal protein that is a component of the 60S subunit. The protein belongs to the L15E family of ribosomal proteins. It is located in the cytoplasm. This gene shares sequence similarity with the yeast ribosomal protein YL10 gene. Although this gene has been referred to as RPL10, its official symbol is RPL15. This gene has been shown to be overexpressed in some esophageal tumors compared to normal matched tissues. Alternate splicing results in multiple transcript variants. As is typical for genes encoding ribosomal proteins, there are multiple processed pseudogenes of this gene dispersed through the genome. |
|
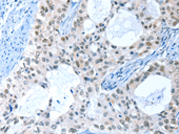
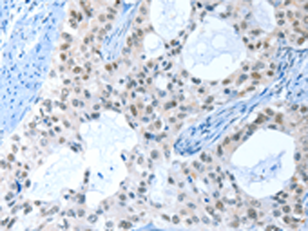
Applications: |
ELISA, IHC |
|
Name of antibody: |
RPL15 |
|
Immunogen: |
Fusion protein of human RPL15 |
|
Full name: |
ribosomal protein L15 |
|
Synonyms: |
L15; EC45; RPL10; RPLY10; RPYL10 |
|
SwissProt: |
P61313 |
|
ELISA Recommended dilution: |
2000-5000 |
|
IHC positive control: |
Human cervical cancer and human thyroid cancer |
|
IHC Recommend dilution: |
25-100 |

購物車
幫助
021-54845833/15800441009
