|
Background: |
Thymidine kinases play a critical role in generating the DNA synthetic precursor deoxythymidine triphosphate (dTTP) by catalyzing the phosphotransfer of phosphate from ATP to deoxythymidine (dT) and thymidine (T) in the cell.TK1 expression and activity is regulated in a cell cycle-dependent manner, accumulating during G1-phase to peak levels in S-phase before being degraded prior to cell division. Stability, but not activity, may be regulated via phosphorylation of TK1 at Ser13 by Cdc2 and/or Cdk2, but the precise mode of regulation remains elusive. These observations indicate that TK1 might be a useful marker of cell proliferation; however, recent studies have shown that TK1 plays a more significant role in the DNA damage response. |
|
Applications: |
WB, IHC, IF |
|
Name of antibody: |
TK1(Ab-13) |
|
Immunogen: |
Synthesized non-phosphopeptide derived from human TK around the phosphorylation site of serine 13 (P-G-S(p)-P-S). |
|
Full name: |
thymidine kinase 1, soluble |
|
Synonyms: |
TK2 |
|
SwissProt: |
P04183 |
|
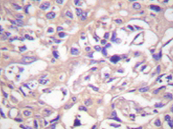
IHC positive control: |
Human breast carcinoma tissue |
|
IHC Recommend dilution: |
50-100 |
|
WB Predicted band size: |
25 kDa |
|
WB Positive control: |
COLO205 cells lysate |
|
WB Recommended dilution: |
500-3000 |
|
IF positive control: |
HepG2 cells |
|
IF Recommend dilution: |
100-500 |


購物車
幫助
021-54845833/15800441009
