中文名稱: 兔抗PITPNM1多克隆抗體
英文名稱: Anti-PITPNM1 rabbit polyclonal antibody
別 名: Rd9; NIR2; RDGB; DRES9; RDGB1; RDGBA; PITPNM; RDGBA1
相關類別: 一抗
儲 存: 冷凍(-20℃)
宿 主: Rabbit
抗 原: PITPNM1
反應種屬: Human, Mouse, Rat
標 記 物: Unconjugate
克隆類型: rabbit polyclonal
技術規格
|
Background: |
PITPNM1 belongs to a family of membrane-associated phosphatidylinositol transfer domain-containing proteins that share homology with the Drosophila retinal degeneration B (rdgB) protein. |
|
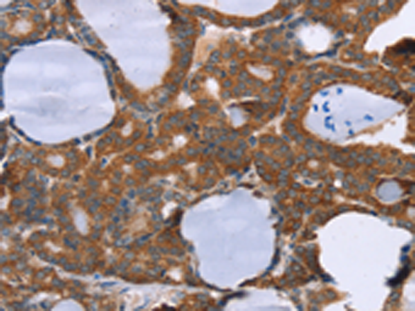
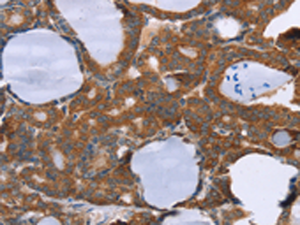
Applications: |
ELISA, IHC |
|
Name of antibody: |
PITPNM1 |
|
Immunogen: |
Fusion protein of human PITPNM1 |
|
Full name: |
phosphatidylinositol transfer protein, membrane-associated 1 |
|
Synonyms: |
Rd9; NIR2; RDGB; DRES9; RDGB1; RDGBA; PITPNM; RDGBA1 |
|
SwissProt: |
O00562 |
|
ELISA Recommended dilution: |
1000-2000 |
|
IHC positive control: |
Human thyroid cancer and human cervical cancer |
|
IHC Recommend dilution: |
25-100 |
購物車
幫助
021-54845833/15800441009
