|
Background: |
Blocks the elongation and depolymerization of the actin filaments at the pointed end. The Tmod/TM complex contributes to the formation of the short actin protofilament, which in turn defines the geometry of the membrane skeleton (By similarity). |
|
Applications: |
ELISA, WB, IHC |
|
Name of antibody: |
TMOD3 |
|
Immunogen: |
Fusion protein of human TMOD3 |
|
Full name: |
tropomodulin 3 |
|
Synonyms: |
UTMOD |
|
SwissProt: |
Q9NYL9 |
|
ELISA Recommended dilution: |
5000-10000 |
|
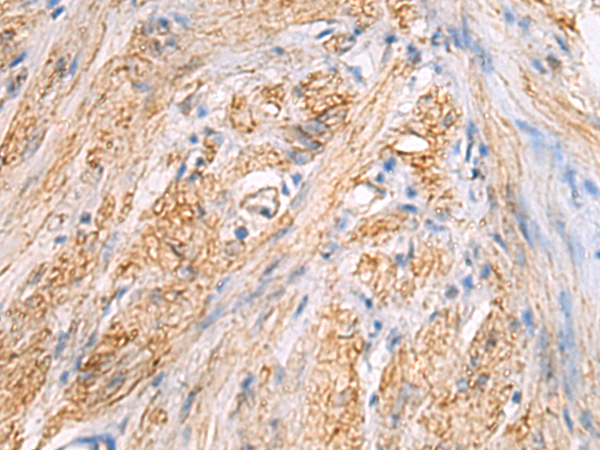
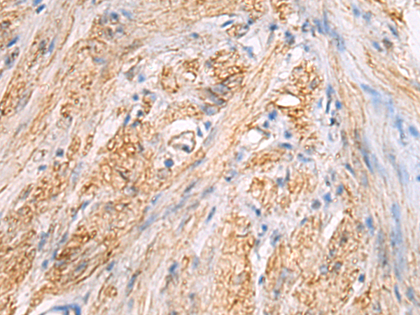
IHC positive control: |
Human gastric cancer |
|
IHC Recommend dilution: |
50-200 |
|
WB Predicted band size: |
40 kDa |
|
WB Positive control: |
293T cell lysate |
|
WB Recommended dilution: |
1000-5000 |

購物車
幫助
021-54845833/15800441009
