中文名稱:兔抗RDH11多克隆抗體
英文名稱: Anti-RDH11 rabbit polyclonal antibody
別 名: MDT1; CGI82; PSDR1; RALR1; SCALD; ARSDR1; HCBP12; SDR7C1
相關類別: 一抗
儲 存: 冷凍(-20℃)
宿 主: Rabbit
抗 原: RDH11
反應種屬: Human, Mouse
標記物: Unconjugate
克隆類型: rabbit polyclonal
技術規格
|
Background: |
The protein encoded by this gene is an NADPH-dependent retinal reductase and a short-chain dehydrogenase/reductase. The encoded protein has no steroid dehydrogenase activity. |
|
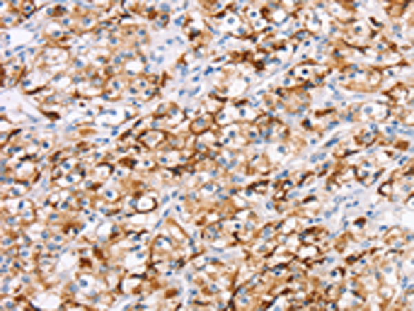
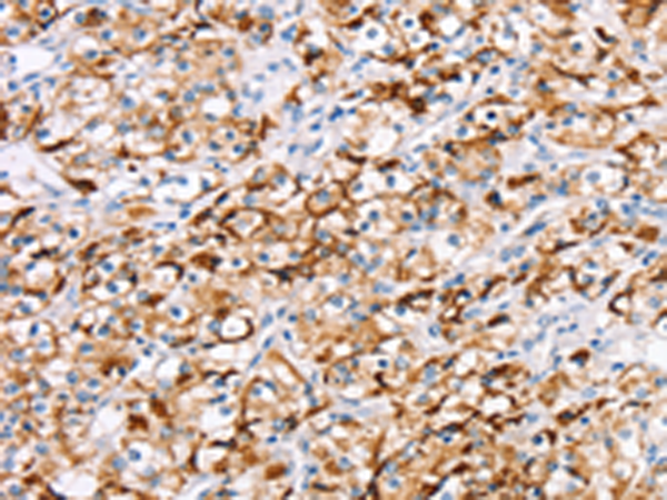
Applications: |
ELISA, IHC |
|
Name of antibody: |
RDH11 |
|
Immunogen: |
Fusion protein of human RDH11 |
|
Full name: |
retinol dehydrogenase 11 (all-trans/9-cis/11-cis) |
|
Synonyms: |
MDT1; CGI82; PSDR1; RALR1; SCALD; ARSDR1; HCBP12; SDR7C1 |
|
SwissProt: |
Q8TC12 |
|
ELISA Recommended dilution: |
1000-2000 |
|
IHC positive control: |
Human prostate cancer |
|
IHC Recommend dilution: |
10-50 |

購物車
幫助
021-54845833/15800441009
