|
Background: |
This protein plays an inhibitory role on IL13 signaling by binding to IL13RA1. Involved in suppression of IL13-induced STAT6 phosphorylation, transcriptional activity and DNA-binding. Recruits TRAF3 and DISC1 to the microtubules. It can interacts with IL13RA1 and binds to microtubules, TRAF3 and DISC1. |
|
Applications: |
ELISA, WB, IHC |
|
Name of antibody: |
TRAF3IP1 |
|
Immunogen: |
Fusion protein of human TRAF3IP1 |
|
Full name: |
TNF receptor-associated factor 3 interacting protein 1 |
|
Synonyms: |
MIPT3; MIP-T3 |
|
SwissProt: |
Q8TDR0 |
|
ELISA Recommended dilution: |
2000-10000 |
|
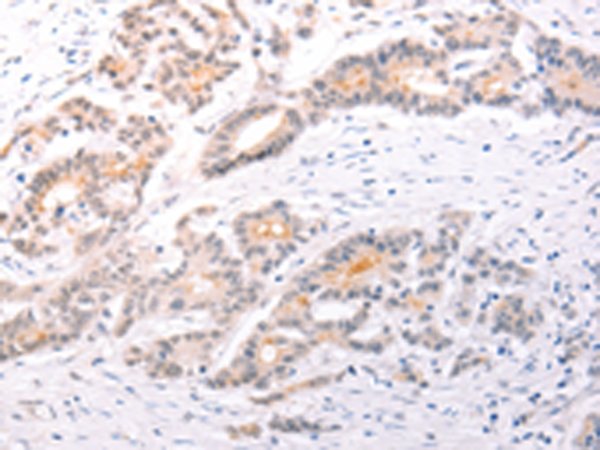
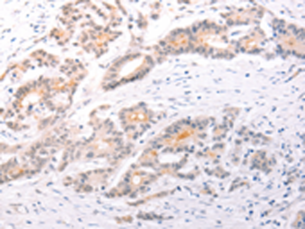
IHC positive control: |
Human colon cancer and human thyroid cancer |
|
IHC Recommend dilution: |
50-200 |
|
WB Predicted band size: |
79 kDa |
|
WB Positive control: |
Mouse thymus tissue |
|
WB Recommended dilution: |
200-1000 |

購物車
幫助
021-54845833/15800441009
