|
Background: |
This gene encodes a member of the kinesin family of proteins. Members of this family are part of a multisubunit complex that functions as a microtubule motor in intracellular organelle transport. Mutations in this gene cause autosomal dominant spastic paraplegia 10. |
|
Applications: |
ELISA, IHC |
|
Name of antibody: |
KIF5A |
|
Immunogen: |
Synthetic peptide of human KIF5A |
|
Full name: |
kinesin family member 5A |
|
Synonyms: |
NKHC; ALS25; MY050; NEIMY; SPG10; D12S1889 |
|
SwissProt: |
Q12840 |
|
ELISA Recommended dilution: |
5000-10000 |
|
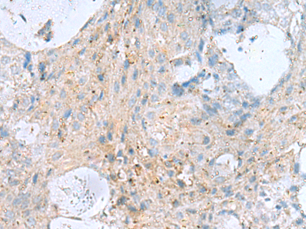
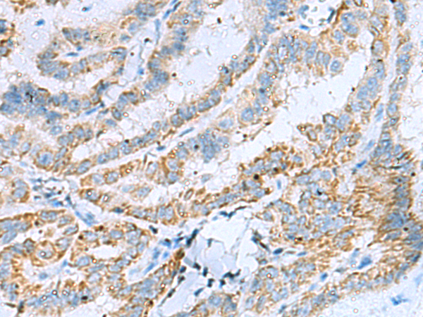
IHC positive control: |
Human thyroid cancer and Human ovarian cancer |
|
IHC Recommend dilution: |
50-100 |


購物車
幫助
021-54845833/15800441009
