|
Background: |
This gene encodes a protein containing tetratricopeptide repeats which are thought to be involved in protein-protein interactions. The encoded protein is also a minor histocompatibility antigen which may induce graft rejection of male stem cell grafts. A large number of alternatively spliced transcripts have been observed for this gene, but the full length nature of some of these variants has not been determined. |
|
Applications: |
ELISA, IHC |
|
Name of antibody: |
UTY |
|
Immunogen: |
Full length fusion protein |
|
Full name: |
ubiquitously transcribed tetratricopeptide repeat containing, Y-linked |
|
Synonyms: |
UTY1; KDM6AL |
|
SwissProt: |
O14607 |
|
ELISA Recommended dilution: |
5000-10000 |
|
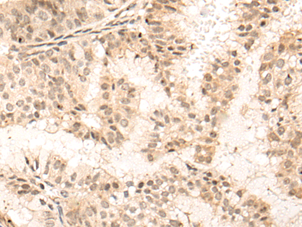
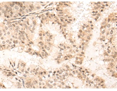
IHC positive control: |
Human tonsil and human thyroid cancer |
|
IHC Recommend dilution: |
25-100 |

購物車
幫助
021-54845833/15800441009
