|
Background: |
This gene encodes a member of the vacuolar protein sorting-associated protein 51 family. The encoded protein is a component of the Golgi-associated retrograde protein complex which acts as a tethering factor for carriers in retrograde transport from the early and late endosomes to the trans-Golgi network. Alternative splicing results in multiple transcript variants. |
|
Applications: |
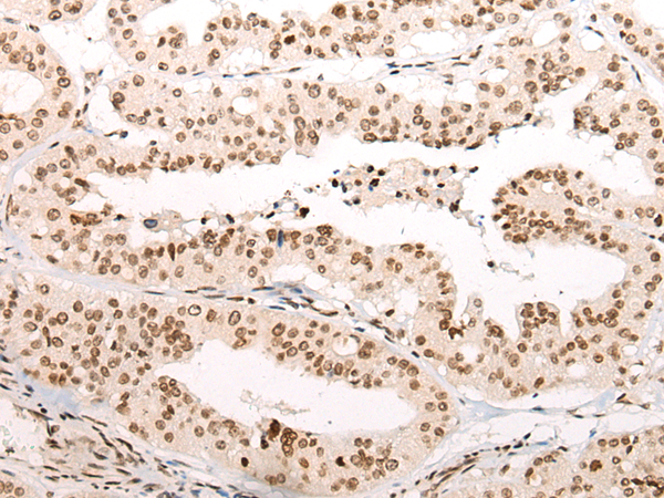
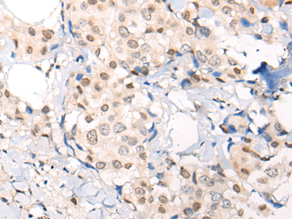
ELISA, IHC |
|
Name of antibody: |
VPS51 |
|
Immunogen: |
Synthetic peptide of human VPS51 |
|
Full name: |
VPS51 GARP complex subunit |
|
Synonyms: |
FFR; ANG2; ANG3; C11orf2; C11orf3 |
|
SwissProt: |
Q9UID3 |
|
ELISA Recommended dilution: |
5000-10000 |
|
IHC positive control: |
Human liver cancer and human breast cancer |
|
IHC Recommend dilution: |
40-200 |

購物車
幫助
021-54845833/15800441009
