|
Background: |
This gene encodes a member of the WD repeat protein family. WD repeats are minimally conserved regions of approximately 40 amino acids typically bracketed by gly-his and trp-asp (GH-WD), which may facilitate formation of heterotrimeric or multiprotein complexes. Members of this family are involved in a variety of cellular processes, including cell cycle progression, signal transduction, apoptosis, and gene regulation. This gene is located in the chromosome 10q25-26 region, which is frequently deleted in gliomas and tumors of other tissues, and is disrupted by the t(10;19) translocation rearrangement in glioblastoma cells. The gene location suggests that it is a candidate gene for the tumor suppressor locus. |
|
Applications: |
ELISA, IHC |
|
Name of antibody: |
WDR11 |
|
Immunogen: |
Synthetic peptide of human WDR11 |
|
Full name: |
WD repeat domain 11 |
|
Synonyms: |
DR11; HH14; BRWD2; WDR15 |
|
SwissProt: |
Q9BZH6 |
|
ELISA Recommended dilution: |
5000-10000 |
|
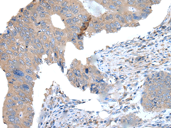
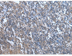
IHC positive control: |
Human ovarian cancer and human tonsil |
|
IHC Recommend dilution: |
25-100 |


購物車
幫助
021-54845833/15800441009
