中文名稱:兔抗ART4多克隆抗體
|
Background: |
This gene encodes a protein that contains a mono-ADP-ribosylation (ART) motif. It is a member of the ADP-ribosyltransferase gene family but enzymatic activity has not been demonstrated experimentally. Antigens of the Dombrock blood group system are located on the gene product, which is glycosylphosphatidylinosotol-anchored to the erythrocyte membrane. Allelic variants, some of which lead to adverse transfusion reactions, are known. |
|
Applications: |
ELISA, WB, IHC |
|
Name of antibody: |
ART4 |
|
Immunogen: |
Synthetic peptide of human ART4 |
|
Full name: |
ADP-ribosyltransferase 4 |
|
Synonyms: |
DO; DOK1; ARTC4; CD297 |
|
SwissProt: |
Q93070 |
|
ELISA Recommended dilution: |
2000-10000 |
|
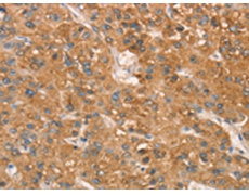
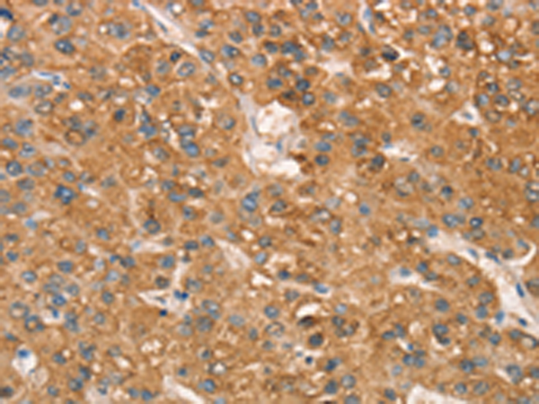
IHC positive control: |
Human liver cancer and Human thyroid cancer |
|
IHC Recommend dilution: |
50-200 |
|
WB Predicted band size: |
36 kDa |
|
WB Positive control: |
Human placenta tissue |
|
WB Recommended dilution: |
1000-5000 |
購物車
幫助
021-54845833/15800441009
