中文名稱(chēng):兔抗ATP6AP2多克隆抗體
|
Background: |
This gene encodes a protein that is associated with adenosine triphosphatases (ATPases). Proton-translocating ATPases have fundamental roles in energy conservation, secondary active transport, acidification of intracellular compartments, and cellular pH homeostasis. There are three classes of ATPases- F, P, and V. The vacuolar (V-type) ATPases have a transmembrane proton-conducting sector and an extramembrane catalytic sector. The encoded protein has been found associated with the transmembrane sector of the V-type ATPases. |
|
Applications: |
ELISA, IHC |
|
Name of antibody: |
ATP6AP2 |
|
Immunogen: |
Fusion protein of human ATP6AP2 |
|
Full name: |
ATPase, H+ transporting, lysosomal accessory protein 2 |
|
Synonyms: |
M8-9; MRXE; XMRE; HT028; ELDF10; ATP6IP2; MSTP009; APT6M8-9; ATP6M8-9 |
|
SwissProt: |
O75787 |
|
ELISA Recommended dilution: |
2000-5000 |
|
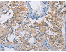
IHC positive control: |
Human thyroid cancer and human gastric cancer |
|
IHC Recommend dilution: |
25-100 |

購(gòu)物車(chē)
幫助
021-54845833/15800441009
