中文名稱:兔抗BCL2L11多克隆抗體
|
IHC Recommend dilution: |
20-100 |
|
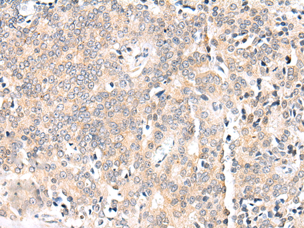
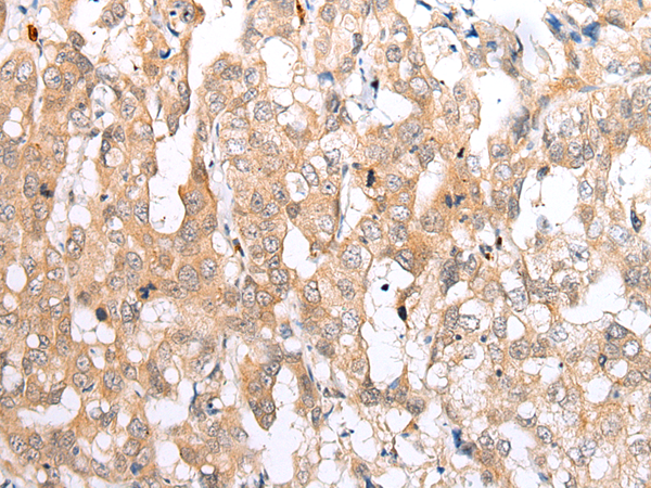
IHC positive control: |
Human prostate cancer and human breast cancer |
|
ELISA Recommended dilution: |
2000-5000 |
|
SwissProt: |
O43521 |
|
Synonyms: |
BAM; BIM; BOD |
|
Full name: |
BCL2-like 11 (apoptosis facilitator) |
|
Immunogen: |
Synthetic peptide of human BCL2L11 |
|
Name of antibody: |
BCL2L11 |
|
Applications: |
ELISA, IHC |
|
Background: |
The protein encoded by this gene belongs to the BCL-2 protein family. BCL-2 family members form hetero- or homodimers and act as anti- or pro-apoptotic regulators that are involved in a wide variety of cellular activities. The protein encoded by this gene contains a Bcl-2 homology domain 3 (BH3). It has been shown to interact with other members of the BCL-2 protein family and to act as an apoptotic activator. The expression of this gene can be induced by nerve growth factor (NGF), as well as by the forkhead transcription factor FKHR-L1, which suggests a role of this gene in neuronal and lymphocyte apoptosis. Transgenic studies of the mouse counterpart suggested that this gene functions as an essential initiator of apoptosis in thymocyte-negative selection. Several alternatively spliced transcript variants of this gene have been identified. |


購物車
幫助
021-54845833/15800441009
