中文名稱: 兔抗KLHL1多克隆抗體
英文名稱: Anti-KLHL1 rabbit polyclonal antibody
別 名: MRP2
相關類別: 一抗
儲 存: 冷凍(-20℃)
宿 主: Rabbit
抗 原: KLHL1
反應種屬: Human, Mouse
標 記 物: Unconjugate
克隆類型: rabbit polyclonal
技術規格


|
IHC Recommend dilution: |
50-200 |
|
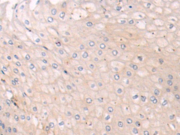
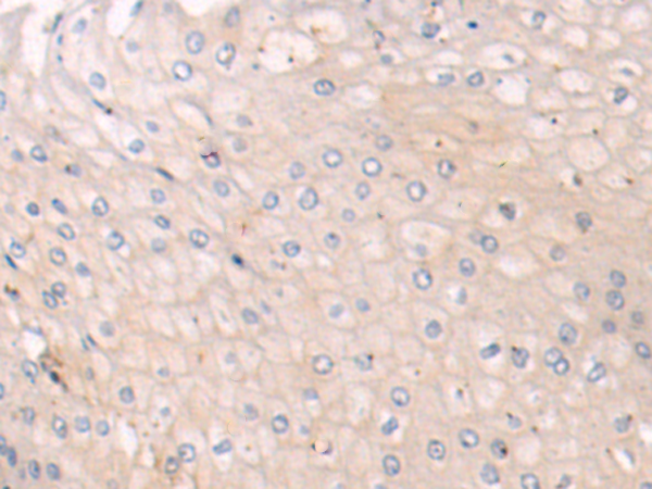
IHC positive control: |
Human thyroid cancer and human brain |
|
SwissProt: |
Q9NR64 |
|
Synonyms: |
MRP2 |
|
Full name: |
kelch-like family member 1 |
|
Immunogen: |
Fusion protein of human KLHL1 |
|
Name of antibody: |
KLHL1 |
|
Applications: |
ELISA, IHC |
|
Background: |
The KLHL1 protein belongs to a family of actin-organizing proteins related to Drosophila Kelch (Nemes et al., 2000 [PubMed 10888605]). |


購物車
幫助
021-54845833/15800441009
