中文名稱:兔抗BIRC5多克隆抗體
|
Background: |
This gene is a member of the inhibitor of apoptosis (IAP) gene family, which encode negative regulatory proteins that prevent apoptotic cell death. IAP family members usually contain multiple baculovirus IAP repeat (BIR) domains, but this gene encodes proteins with only a single BIR domain. The encoded proteins also lack a C-terminus RING finger domain. Gene expression is high during fetal development and in most tumors, yet low in adult tissues. Alternatively spliced transcript variants encoding distinct isoforms have been found for this gene. |
|
Applications: |
ELISA, IHC |
|
Name of antibody: |
BIRC5 |
|
Immunogen: |
Fusion protein of human BIRC5 |
|
Full name: |
baculoviral IAP repeat containing 5 |
|
Synonyms: |
API4; EPR-1 |
|
SwissProt: |
O15392 |
|
ELISA Recommended dilution: |
5000-10000 |
|
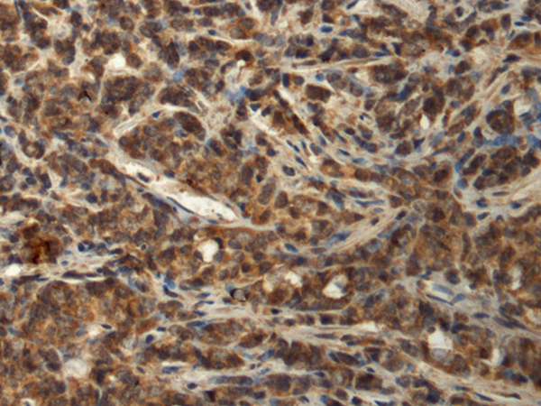
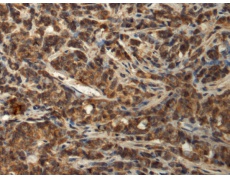
IHC positive control: |
Human prostate cancer and Human esophagus cancer |
|
IHC Recommend dilution: |
100-300 |


購物車
幫助
021-54845833/15800441009
