中文名稱:兔抗BMP15多克隆抗體
|
Background: |
The protein encoded by this gene is a member of the bone morphogenetic protein family which is part of the transforming growth factor-beta superfamily. The transforming growth factor-beta superfamily includes large families of growth and differentiation factors. It is thought that this protein may be involved in oocyte maturation and follicular development as a homodimer or by forming heterodimers with a related protein, Gdf9. Defects in this gene are the cause of ovarian dysgenesis 2. |
|
Applications: |
ELISA, WB, IHC |
|
Name of antibody: |
BMP15 |
|
Immunogen: |
Fusion protein of human BMP15 |
|
Full name: |
bone morphogenetic protein 15 |
|
Synonyms: |
ODG2; POF4; GDF9B |
|
SwissProt: |
O95972 |
|
ELISA Recommended dilution: |
1000-2000 |
|
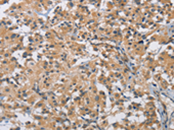
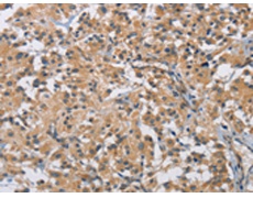
IHC positive control: |
Human thyroid cancer and human gastric cancer |
|
IHC Recommend dilution: |
50-200 |
|
WB Predicted band size: |
45 kDa |
|
WB Positive control: |
A549 cells |
|
WB Recommended dilution: |
200-1000 |


購物車
幫助
021-54845833/15800441009
