|
Background: |
This gene is a member of the roadblock dynein light chain family. The encoded cytoplasmic protein is capable of binding intermediate chain proteins, interacts with transforming growth factor-beta, and has been implicated in the regulation of actin modulating proteins. Upregulation of this gene has been associated with hepatocellular carcinomas, suggesting that this gene may be involved in tumor progression. Alternative splicing results in multiple transcript variants. Pseudogenes of this gene have been defined on chromosomes 12 and 18. [provided by RefSeq, Aug 2013] |
|
Applications: |
ELISA, IHC |
|
Name of antibody: |
DYNLRB1 |
|
Immunogen: |
Fusion protein of human DYNLRB1 |
|
Full name: |
dynein light chain roadblock-type 1 |
|
Synonyms: |
BLP; BITH; DNCL2A; DNLC2A; ROBLD1 |
|
SwissProt: |
Q9NP97 |
|
ELISA Recommended dilution: |
5000-10000 |
|
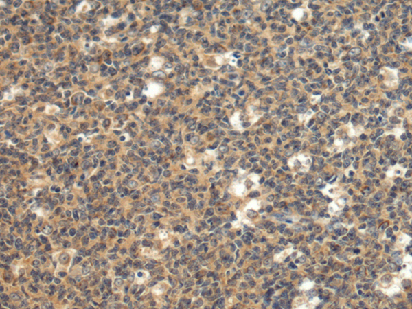
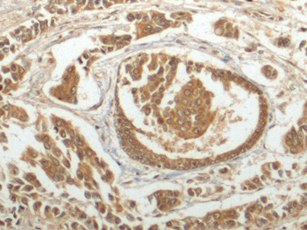
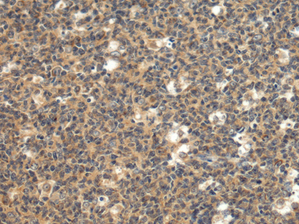
IHC positive control: |
Human breast cancer and Human tonsil |
|
IHC Recommend dilution: |
150-300 |

購物車
幫助
021-54845833/15800441009
