中文名稱:兔抗BRMS1L多克隆抗體
|
Background: |
The protein encoded by this gene shows sequence similarity to the human breast carcinoma metastasis suppressor (BRMS1) protein and the mammalian Sds3 (suppressor of defective silencing 3) proteins. This protein is a component of the mSin3a family of histone deacetylase complexes (HDAC). |
|
Applications: |
ELISA, IHC |
|
Name of antibody: |
BRMS1L |
|
Immunogen: |
Fusion protein of human BRMS1L |
|
Full name: |
breast cancer metastasis-suppressor 1-like |
|
Synonyms: |
BRMS1 |
|
SwissProt: |
Q5PSV4 |
|
ELISA Recommended dilution: |
5000-10000 |
|
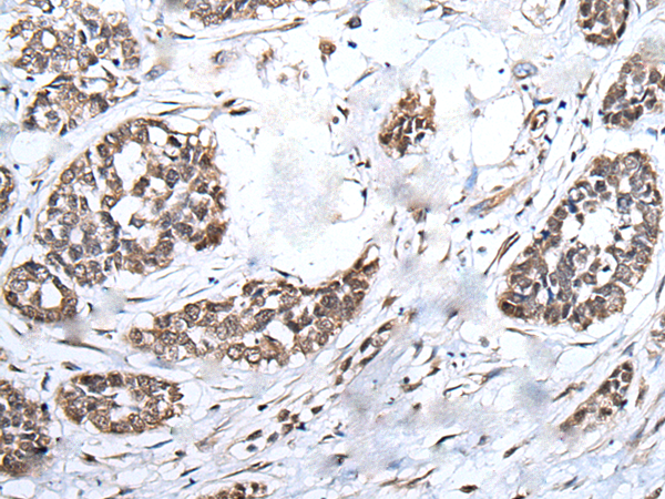
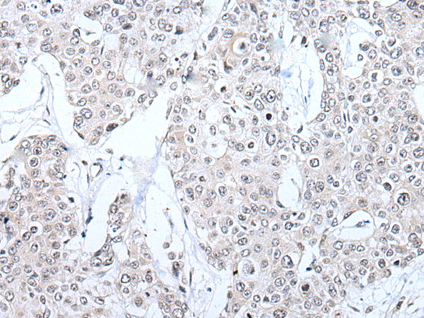
IHC positive control: |
Human esophagus cancer and human prostate cancer |
|
IHC Recommend dilution: |
20-100 |


購物車
幫助
021-54845833/15800441009
