中文名稱:兔抗WIPF2多克隆抗體
英文名稱: Anti-WIPF2 rabbit polyclonal antibody
級 別: WICH; WIRE
抗 原: WIPF
儲 存: 冷凍(-20℃)
宿 主: Rabbit
相關類別: 一抗
反應種屬: Human
標 記 物: Unconjugate
克隆類型: rabbit polyclonal
Background:
This gene encodes a WASP interacting protein (WIP)-related protein. It has been shown that this protein has a role in the WASP-mediated organization of the actin cytoskeleton and that this protein is a potential link between the activated platelet-derived growth factor receptor and the actin polymerization machinery.
Applications:
ELISA, WB, IHC
Name of antibody:
WIPF2
Immunogen:
Synthetic peptide of human WIPF2
Full name:
WAS/WASL interacting protein family member 2
Synonyms:
WICH; WIRE
SwissProt:
Q8TF74
ELISA Recommended dilution:
5000-10000
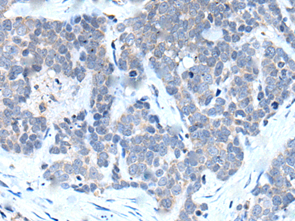
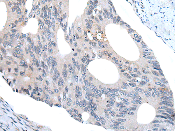
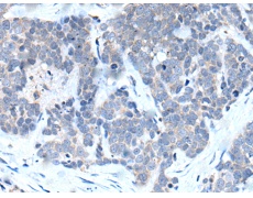
IHC positive control:
Human tonsil and human lung cancer
IHC Recommend dilution:
10-50
WB Predicted band size:
46 kDa
WB Positive control:
Hela cell lysate
WB Recommended dilution:
500-2000
技術規格


購物車
幫助
021-54845833/15800441009
