中文名稱:兔抗CALR多克隆抗體
英文名稱: Anti-CALR rabbit polyclonal antibody
別 名: RO; CRT; SSA; cC1qR
抗 原: CALR
儲 存: 冷凍(-20℃)
宿 主: Rabbit
相關類別: 一抗
反應種屬: Human, Mouse, Rat
標 記 物: Unconjugate
技術規格
|
Background: |
Calreticulin is a multifunctional protein that acts as a major Ca(2+)-binding (storage) protein in the lumen of the endoplasmic reticulum. It is also found in the nucleus, suggesting that it may have a role in transcription regulation. Calreticulin binds to the synthetic peptide KLGFFKR, which is almost identical to an amino acid sequence in the DNA-binding domain of the superfamily of nuclear receptors. Calreticulin binds to antibodies in certain sera of systemic lupus and Sjogren patients which contain anti-Ro/SSA antibodies, it is highly conserved among species, and it is located in the endoplasmic and sarcoplasmic reticulum where it may bind calcium. The amino terminus of calreticulin interacts with the DNA-binding domain of the glucocorticoid receptor and prevents the receptor from binding to its specific glucocorticoid response element. |
|
Applications: |
ELISA, WB, IHC |
|
Name of antibody: |
CALR |
|
Immunogen: |
Fusion protein of human CALR |
|
Full name: |
Calreticulin |
|
Synonyms: |
RO; CRT; SSA; cC1qR |
|
SwissProt: |
P27797 |
|
ELISA Recommended dilution: |
2000-10000 |
|
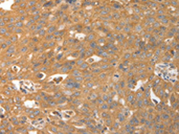
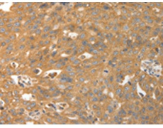
IHC positive control: |
Human ovarian cancer and Human gastric cancer |
|
IHC Recommend dilution: |
50-200 |
|
WB Predicted band size: |
48 kDa |
|
WB Positive control: |
Hela, 293T and NIH/3T3 cells |
|
WB Recommended dilution: |
1000-5000 |


購物車
幫助
021-54845833/15800441009
