|
Background: |
This gene is a paralog of SMN1 gene, which encodes the survival motor neuron protein, mutations in which are cause of autosomal recessive proximal spinal muscular atrophy. The protein encoded by this gene is a nuclear protein that has been identified as a constituent of the spliceosome complex. This gene is differentially expressed, with abundant levels in skeletal muscle, and may share similar cellular function as the SMN1 gene. |
|
Applications: |
ELISA, IHC |
|
Name of antibody: |
SMNDC1 |
|
Immunogen: |
Fusion protein of human SMNDC1 |
|
Full name: |
survival motor neuron domain containing 1 |
|
Synonyms: |
SMNR; SPF30; TDRD16C |
|
SwissProt: |
O75940 |
|
ELISA Recommended dilution: |
5000-10000 |
|
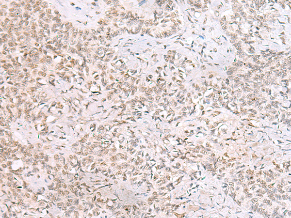
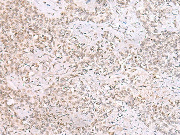
IHC positive control: |
Human ovarian cancer |
|
IHC Recommend dilution: |
40-200 |
購物車
幫助
021-54845833/15800441009
