中文名稱:兔抗CAMK1D多克隆抗體
英文名稱: Anti-CAMK1D rabbit polyclonal antibody
別 名: CKLiK; CaM-K1; CaMKID
相關類別: 一抗
儲 存: 冷凍(-20℃)
抗 原: CAMK1D
宿 主: Rabbit
反應種屬: Human, Mouse
標 記 物: Unconjugate
克隆類型: rabbit polyclonal
技術規格
|
Background: |
This gene encodes a member of the Ca2+/calmodulin-dependent protein kinase 1 subfamily of serine/threonine kinases. The encoded protein may be involved in the regulation of granulocyte function through the chemokine signal transduction pathway. Alternatively spliced transcript variants encoding different isoforms of this gene have been described. |
|
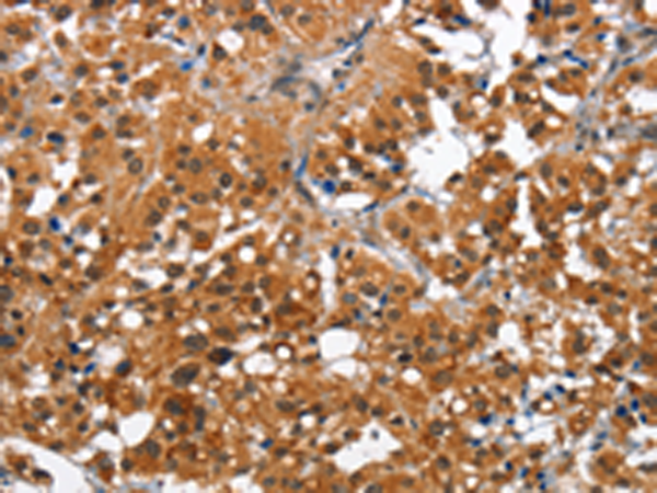
Applications: |
ELISA, IHC |
|
Name of antibody: |
CAMK1D |
|
Immunogen: |
Fusion protein of human CAMK1D |
|
Full name: |
calcium/calmodulin-dependent protein kinase ID |
|
Synonyms: |
CKLiK; CaM-K1; CaMKID |
|
SwissProt: |
Q8IU85 |
|
ELISA Recommended dilution: |
1000-5000 |
|
IHC positive control: |
Human thyroid cancer and human brain |
|
IHC Recommend dilution: |
50-200 |

購物車
幫助
021-54845833/15800441009
