中文名稱:兔抗CAPZA3多克隆抗體
英文名稱: Anti-CAPZA3 rabbit polyclonal antibody
別 名: Gsg3; CAPPA3
相關類別: 一抗
抗 原: CAPZA3
儲 存: 冷凍(-20℃)
宿 主: Rabbit
反應種屬: Human, Mouse, Rat
標 記 物: Unconjugate
克隆類型: rabbit polyclonal
技術規格
|
Background: |
This gene encodes an actin capping protein, one of the F-actin capping protein alpha subunit family. The encoded protein is predominantly localized to the neck region of ejaculated sperm, other immunohistochemical signals were found in the tail and postacrosomal regions. The encoded protein may also form heterodimers of alpha and beta subunits. This protein may be important in determining sperm architecture and male fertility. |
|
Applications: |
ELISA, IHC |
|
Name of antibody: |
CAPZA3 |
|
Immunogen: |
Fusion protein of human CAPZA3 |
|
Full name: |
capping protein (actin filament) muscle Z-line, alpha 3 |
|
Synonyms: |
Gsg3; CAPPA3 |
|
SwissProt: |
Q96KX2 |
|
ELISA Recommended dilution: |
2000-5000 |
|
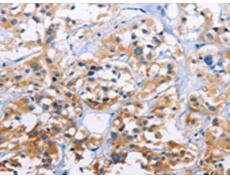
IHC positive control: |
Human thyroid cancer |
|
IHC Recommend dilution: |
50-200 |

購物車
幫助
021-54845833/15800441009
