中文名稱:兔抗CASQ1多克隆抗體
英文名稱: Anti-CASQ1 rabbit polyclonal antibody
別 名: calsequestrin 1; CASQ; PDIB1; VMCQA
相關類別: 一抗
抗 原: CASQ1
儲 存: 冷凍(-20℃)
宿 主: Rabbit
反應種屬: Human, Mouse, Rat
標 記 物: Unconjugate
克隆類型: rabbit polyclonal
技術規格
|
Background: |
This gene encodes the skeletal muscle specific member of the calsequestrin protein family. Calsequestrin functions as a luminal sarcoplasmic reticulum calcium sensor in both cardiac and skeletal muscle cells. This protein, also known as calmitine, functions as a calcium regulator in the mitochondria of skeletal muscle. This protein is absent in patients with Duchenne and Becker types of muscular dystrophy. |
|
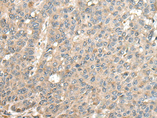
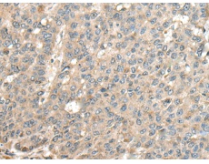
Applications: |
ELISA, IHC |
|
Name of antibody: |
CASQ1 |
|
Immunogen: |
Fusion protein of human CASQ1 |
|
Full name: |
calsequestrin 1 |
|
Synonyms: |
CASQ; PDIB1; VMCQA |
|
SwissProt: |
P31415 |
|
ELISA Recommended dilution: |
5000-10000 |
|
IHC positive control: |
Human liver cancer |
|
IHC Recommend dilution: |
50-300 |

購物車
幫助
021-54845833/15800441009
