中文名稱:兔抗CCDC88A(Phospho-Ser1417)多克隆抗體
英文名稱: Anti-CCDC88A(Phospho-Ser1417) rabbit polyclonal antibody
別 名: APE; GIV; GRDN; HkRP1; GIRDIN; KIAA1212
相關類別: 一抗
儲 存: 冷凍(-20℃) 避光
宿 主: Rabbit
抗 原: CCDC88A(Phospho-Ser1417)
反應種屬: Human Mouse
標 記 物: Unconjugate
克隆類型: Unconjugate
技術規格
|
Background: |
This gene encodes a member of the Girdin family of coiled-coil domain containing proteins. The encoded protein is an actin-binding protein that is activated by the serine/threonine kinase Akt and plays a role in cytoskeleton remodeling and cell migration. The encoded protein also enhances Akt signaling by mediating phosphoinositide 3-kinase (PI3K)-dependent activation of Akt by growth factor receptor tyrosine kinases and G protein-coupled receptors. Increased expression of this gene and phosphorylation of the encoded protein may play a role in cancer metastasis. Alternatively spliced transcript variants encoding multiple isoforms have been observed for this gene. [provided by RefSeq, Dec 2011] |
|
Applications: |
IHC |
|
Name of antibody: |
CCDC88A(Phospho-Ser1417) |
|
Immunogen: |
Peptide sequence around phosphorylation site of Serine 417(L-E-M(p)-A-Q) derived from Human Girdin . |
|
Full name: |
coiled-coil domain containing 88A |
|
Synonyms: |
APE; GIV; GRDN; HkRP1; GIRDIN; KIAA1212 |
|
SwissProt: |
Q3V6T2 |
|
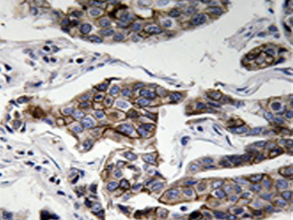
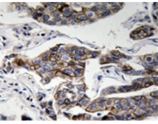
IHC positive control: |
Human breast carcinoma tissue |
|
IHC Recommend dilution: |
50-100 |

購物車
幫助
021-54845833/15800441009
