中文名稱:兔抗WFS1多克隆抗體
英文名稱: Anti-WFS1 rabbit polyclonal antibody
別 名: WFS; WFRS; WFSL; CTRCT41
相關類別: 一抗
儲 存: 冷凍(-20℃)
宿 主: Rabbit
抗 原: WFS1
反應種屬: Human, Mouse
標 記 物: Unconjugate
克隆類型: rabbit polyclonal
技術規格
|
Background: |
This gene encodes a transmembrane protein, which is located primarily in the endoplasmic reticulum and ubiquitously expressed with highest levels in brain, pancreas, heart, and insulinoma beta-cell lines. Mutations in this gene are associated with Wolfram syndrome, also called DIDMOAD (Diabetes Insipidus, Diabetes Mellitus, Optic Atrophy, and Deafness), an autosomal recessive disorder. The disease affects the brain and central nervous system. Mutations in this gene can also cause autosomal dominant deafness 6 (DFNA6), also known as DFNA14 or DFNA38. Alternatively spliced transcript variants have been found for this gene. |
|
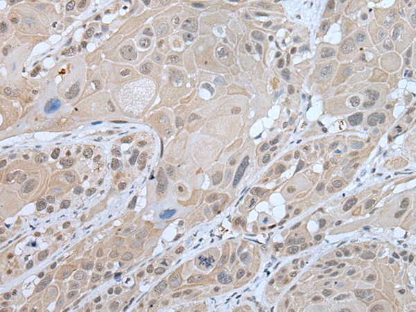
Applications: |
ELISA, IHC |
|
Name of antibody: |
WFS1 |
|
Immunogen: |
Fusion protein of human WFS1 |
|
Full name: |
Wolfram syndrome 1 (wolframin) |
|
Synonyms: |
WFS; WFRS; WFSL; CTRCT41 |
|
SwissProt: |
O76024 |
|
ELISA Recommended dilution: |
5000-10000 |
|
IHC positive control: |
Human esophagus cancer and human tonsil |
|
IHC Recommend dilution: |
20-100 |

購物車
幫助
021-54845833/15800441009
