中文名稱:兔抗CCNB1IP1多克隆抗體
英文名稱: Anti-CCNB1IP1 rabbit polyclonal antibody
別 名: cyclin B1 interacting protein 1; HEI10; C14orf18
相關類別: 一抗
儲 存: 冷凍(-20℃)
抗 原: CCNB1IP1
宿 主: Rabbit
反應種屬: Human, Mouse
標 記 物: Unconjugate
克隆類型: rabbit polyclonal
技術規格
|
Background: |
HEI10 is a member of the E3 ubiquitin ligase family and functions in progression of the cell cycle through G(2)/M.[supplied by OMIM, Apr 2004] |
|
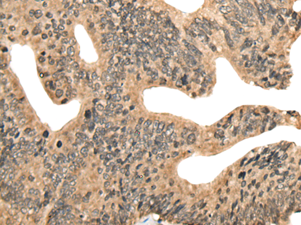
Applications: |
ELISA, IHC |
|
Name of antibody: |
CCNB1IP1 |
|
Immunogen: |
Full length fusion protein |
|
Full name: |
cyclin B1 interacting protein 1 |
|
Synonyms: |
HEI10; C14orf18 |
|
SwissProt: |
Q9NPC3 |
|
ELISA Recommended dilution: |
5000-10000 |
|
IHC positive control: |
Human lung cancer and human colorectal cancer |
|
IHC Recommend dilution: |
30-150 |
購物車
幫助
021-54845833/15800441009
