中文名稱:兔抗CCDC106多克隆抗體
英文名稱: Anti-CCDC106 rabbit polyclonal antibody
別 名: ZNF581; HSU79303
相關類別: 一抗
抗 原: CCDC106
儲 存: 冷凍(-20℃)
宿 主: Rabbit
反應種屬: Human, Mouse
標 記 物: Unconjugate
克隆類型: rabbit polyclonal
技術規格
|
Background: |
The coiled-coil domain is a common protein motif that is often involved in protein oligomerization and is found in proteins such as transcription factors and intermediate filaments. CCDC106 was initially identified as a p53-interacting protein by yeast two-hybrid screening. Other experiments demonstrated that CCDC106 co-localizes and interacts with p53 in the nucleus, inhibiting the transcriptional activity of p53 and stimulating p53 protein degradation, indicating that at least one of the functions of CCDC106 is acting as a negative regulator of p53. |
|
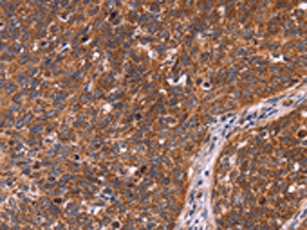
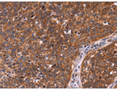
Applications: |
ELISA, IHC |
|
Name of antibody: |
CCDC106 |
|
Immunogen: |
Fusion protein of human CCDC106 |
|
Full name: |
coiled-coil domain containing 106 |
|
Synonyms: |
ZNF581; HSU79303 |
|
SwissProt: |
Q9BWC9 |
|
ELISA Recommended dilution: |
2000-10000 |
|
IHC positive control: |
Human cervical cancer and human colon cancer |
|
IHC Recommend dilution: |
100-300 |

購物車
幫助
021-54845833/15800441009
