中文名稱: 兔抗TRPC4AP多克隆抗體
|
Background: |
TRPC4AP (transient receptor potential cation channel, subfamily C, member 4 associated protein), also known as TRUSS or TRRP4AP, is a 797 amino acid protein that is expressed in a variety of tissues, with highest expression in liver, heart, testis and brain. Thought to function as a scaffolding protein, TRPC4AP interacts with TNF-R1 and may both link TNF-R1 to the IKK signalsome complex, and participate in the activation of NFκB p50, an event that occurs in response to TNF-R1 ligation. TRPC4AP exists as multiple alternatively spliced isoforms that are encoded by a gene which maps to human chromosome 20. Comprising approximately 2% of the human genome, chromosome 20 contains nearly 63 million bases that encode over 600 genes, some of which are associated with Creutzfeldt-Jakob disease, amyotrophic lateral sclerosis, spinal muscular atrophy, ring chromosome 20 epilepsy syndrome and Alagille syndrome. |
|
Applications: |
ELISA, IHC |
|
Name of antibody: |
TRPC4AP |
|
Immunogen: |
Fusion protein of human TRPC4AP |
|
Full name: |
transient receptor potential cation channel, subfamily C, member 4 associated protein |
|
Synonyms: |
TRUSS; TRRP4AP; PPP1R158; C20orf188 |
|
SwissProt: |
Q8TEL6 |
|
ELISA Recommended dilution: |
2000-10000 |
|
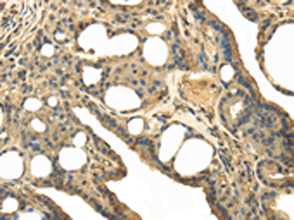
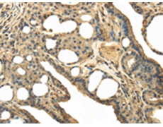
IHC positive control: |
Human thyroid cancer |
|
IHC Recommend dilution: |
30-150 |

購物車
幫助
021-54845833/15800441009
