中文名稱 : 兔抗WLS多克隆抗體
英文名稱 : Anti-WLS rabbit polyclonal antibody
別 名 : wntless Wnt ligand secretion mediator; EVI; MRP; GPR177; mig-14; C1orf139
儲 存 : 冷凍(-20℃)
抗 原: WLS
宿 主 : Rabbit
反應種屬 : Human, Mouse, Rat
相關類別 : 一抗
標 記 物 : Unconjugate
克隆類型 : rabbit polyclonal
技術規格
|
Background: |
Regulates Wnt proteins sorting and secretion in a feedback regulatory mechanism. This reciprocal interaction plays a key role in the regulation of expression, subcellular location, binding and organelle-specific association of Wnt proteins. Plays also an important role in establishment of the anterior-posterior body axis formation during development (By similarity). |
|
Applications: |
ELISA, IHC |
|
Name of antibody: |
WLS |
|
Immunogen: |
Synthetic peptide of human WLS |
|
Full name: |
wntless Wnt ligand secretion mediator |
|
Synonyms: |
EVI; MRP; GPR177; mig-14; C1orf139 |
|
SwissProt: |
Q5T9L3 |
|
ELISA Recommended dilution: |
5000-10000 |
|
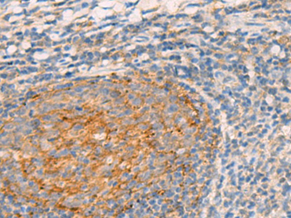
IHC positive control: |
Human tonsil |
|
IHC Recommend dilution: |
50-300 |

購物車
幫助
021-54845833/15800441009
