|
Background: |
This gene regulates glucose-6-phosphate transport from the cytoplasm to the lumen of the endoplasmic reticulum, in order to maintain glucose homeostasis. It also plays a role in ATP-mediated calcium sequestration in the lumen of the endoplasmic reticulum. Mutations in this gene have been associated with various forms of glycogen storage disease. Alternative splicing in this gene results in multiple transcript variants. |
|
Applications: |
ELISA, WB, IHC |
|
Name of antibody: |
SLC37A4 |
|
Immunogen: |
Synthetic peptide of human SLC37A4 |
|
Full name: |
solute carrier family 37 member 4 |
|
Synonyms: |
G6PT1; G6PT2; G6PT3; GSD1b; GSD1c; GSD1d; TRG19; TRG-19; PRO0685 |
|
SwissProt: |
O43826 |
|
ELISA Recommended dilution: |
5000-10000 |
|
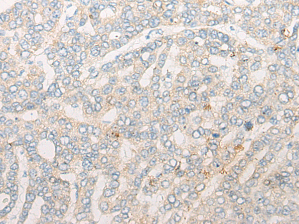
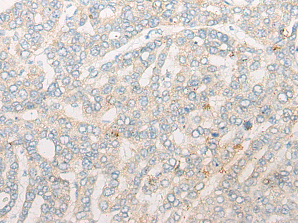
IHC positive control: |
Human liver cancer; |
|
IHC Recommend dilution: |
20-100 |
|
WB Predicted band size: |
46 kDa |
|
WB Positive control: |
Mouse liver tissue lysate |
|
WB Recommended dilution: |
200-1000 |

購物車
幫助
021-54845833/15800441009
