中文名稱:兔抗WNT10A多克隆抗體
英文名稱: Anti-WNT10A rabbit polyclonal antibody
別 名: OODD; SSPS; STHAG4
相關類別: 一抗
儲 存: 冷凍(-20℃)
宿 主: Rabbit
抗 原: WNT10A
反應種屬: Human, Mouse
標 記 物: Unconjugate
克隆類型: rabbit polyclonal
技術規格
|
Background: |
The WNT gene family consists of structurally related genes which encode secreted signaling proteins. These proteins have been implicated in oncogenesis and in several developmental processes, including regulation of cell fate and patterning during embryogenesis. This gene is a member of the WNT gene family. It is strongly expressed in the cell lines of promyelocytic leukemia and Burkitt's lymphoma. In addition, it and another family member, the WNT6 gene, are strongly coexpressed in colorectal cancer cell lines. The gene overexpression may play key roles in carcinogenesis through activation of the WNT-beta-catenin-TCF signaling pathway. This gene and the WNT6 gene are clustered in the chromosome 2q35 region. |
|
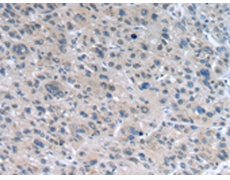
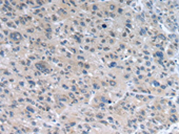
Applications: |
ELISA, IHC |
|
Name of antibody: |
WNT10A |
|
Immunogen: |
Synthetic peptide of humanWNT10A |
|
Full name: |
wingless-type MMTV integration site family, member 10A |
|
Synonyms: |
OODD; SSPS; STHAG4 |
|
SwissProt: |
Q9GZT5 |
|
ELISA Recommended dilution: |
1000-2000 |
|
IHC positive control: |
Human liver cancer |
|
IHC Recommend dilution: |
10-50 |
購物車
幫助
021-54845833/15800441009
