技術規格
Background:
This gene encodes the catalytic subunit of the DNA-dependent protein kinase (DNA-PK). It functions with the Ku70/Ku80 heterodimer protein in DNA double strand break repair and recombination. The protein encoded is a member of the PI3/PI4-kinase family.
Applications:
WB, IP, IF
Name of antibody:
PRKDC
Immunogen:
Fusion protein of human PRKDC
Full name:
protein kinase, DNA-activated, catalytic polypeptide
Synonyms:
HYRC; p350; DNAPK; DNPK1; HYRC1; IMD26; XRCC7; DNA-PKcs
SwissProt:
P78527
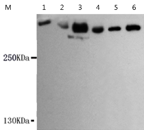
WB Predicted band size:
469 kDa
WB Positive control:
MOLT-4, HL-60, K562, Hela, HCT116 and A549 cell lysates
WB Recommended dilution:
1000-5000
IF positive control:
Hela cells
IF Recommend dilution:
100-200


購物車
幫助
021-54845833/15800441009
