中文名稱:兔抗ZAP70多克隆抗體
|
Background: |
This gene encodes an enzyme belonging to the protein tyrosine kinase family, and it plays a role in T-cell development and lymphocyte activation. This enzyme, which is phosphorylated on tyrosine residues upon T-cell antigen receptor (TCR) stimulation, functions in the initial step of TCR-mediated signal transduction in combination with the Src family kinases, Lck and Fyn. This enzyme is also essential for thymocyte development. Mutations in this gene cause selective T-cell defect, a severe combined immunodeficiency disease characterized by a selective absence of CD8-positive T-cells. Two transcript variants that encode different isoforms have been found for this gene. |
|
Applications: |
ELISA, WB, IHC |
|
Name of antibody: |
ZAP70 |
|
Immunogen: |
Fusion protein of human ZAP70 |
|
Full name: |
zeta chain of T cell receptor associated protein kinase 70 |
|
Synonyms: |
SRK; STD; TZK; STCD; IMD48; ADMIO2; ZAP-70 |
|
SwissProt: |
P43403 |
|
ELISA Recommended dilution: |
5000-10000 |
|
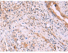
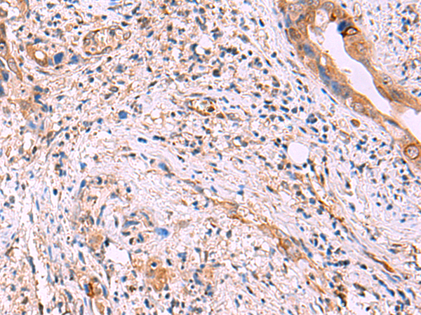
IHC positive control: |
Human cervical cancer |
|
IHC Recommend dilution: |
50-300 |
|
WB Predicted band size: |
70 kDa |
|
WB Positive control: |
Mouse liver tissue and Jurkat cell lysates |
|
WB Recommended dilution: |
500-2000 |

購物車
幫助
021-54845833/15800441009
